Porcelanas
Trata-se de uma fina camada de porcelana que é aplicada na parte frontal do dente, geralmente para corrigir imperfeições como manchas, desgastes ou desalinhamentos.
O resultado é um sorriso mais bonito, sem a necessidade de intervenções mais invasivas, uma vez que o desgaste dental a ser realizado é mínimo.
Faceta de Porcelana

As lentes de contato dentais são facetas ultrafinas, feitas de porcelana de alta qualidade, aplicadas sobre a superfície do dente. Elas são ideais para corrigir pequenos defeitos estéticos como manchas, dentes levemente desalinhados ou dentes pequenos. O procedimento é minimamente invasivo e oferece resultados naturais e duradouros.
Lente de Contato Dental

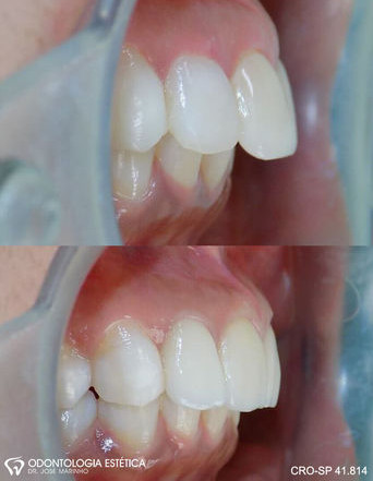
A coroa de porcelana sem metal é indicada quando uma maior estrutura dental já foi perdida. É uma opção esteticamente superior às coroas tradicionais, pois é 100% feita de porcelana. Isso permite um resultado mais equilibrado, proporcionando um sorriso harmônico e com aparência mais natural.
COROA DE PORCELANA METAL-FREE

QUANDO UTILIZAR PORCELANA NOS DENTES?
● Para corrigir imperfeições estéticas em dentes que estão manchados, desgastados ou com falhas.
● Quando há necessidade de restaurar dentes fraturados ou enfraquecidos por cáries.
● Para melhorar a estética do sorriso, alinhando e clareando os dentes.
O PROCEDIMENTO é doloridO?
O tratamento é confortável. Nos casos em que há necessidade de desgaste dental, é realizada aplicação de anestesia local, garantindo o seu bem-estar e segurança durante todo o processo.
É SEGURO E DURÁVEL?
As próteses em porcelana e.max são seguras e conhecidas por sua alta durabilidade, podendo resistir por décadas com os devidos cuidados.
COMO FICO DURANTE O TRATAMENTO?
Se necessário, instalamos uma peça provisória que se assemelha muito aos seus dentes naturais, proporcionando estética e funcionalidade até a finalização do tratamento.
POR QUE ESCOLHER PORCELANA?
A porcelana é uma excelente escolha quando se busca estética, durabilidade e biocompatibilidade. Com as facetas, lentes de contato e coroas de porcelana, você pode corrigir imperfeições do sorriso de forma rápida, segura e eficaz.
TECNOLOGIA DE PONTA
Na Marinho Odontologia+, utilizamos os equipamentos mais modernos para oferecer o melhor tratamento possível aos nossos pacientes. Revolucionamos o processo de moldagem para confecção de facetas, lentes, coroas e onlays com a tecnologia de escaneamento digital. Contamos com scanner intraoral avançado, que permite um mapeamento preciso da sua arcada dentária, e impressora 3D, que garante resultados personalizados e de alta qualidade. Esses avanços tecnológicos proporcionam maior conforto, precisão e agilidade no seu tratamento.

A porcelana é um material altamente estético, durável e biocompatível, utilizado para diversas soluções odontológicas. Seu principal benefício é a capacidade de imitar a aparência natural dos dentes, garantindo um sorriso bonito e harmonioso.

